玫瑰糠疹如何治疗
来源:南昌中山皮肤病医院【专家在线咨询】

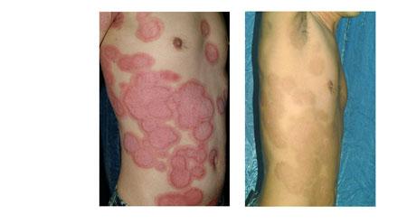
玫瑰糠疹是一种常见病,好发于春秋两季,中青年人发病较多,女性稍多于男性。之所以称为玫瑰糠疹,是因为它的皮疹呈玫瑰红色,微微高出皮肤,大小不一。有的像小钮扣大小,有的像钱币大小,呈椭圆形,上面覆盖着一层糠状的薄皮,称为糠状鳞屑。
请点击免费咨询权威专家

玫瑰糠疹的组合症状
更详细的内容,点击在线咨询、预约专家<<
玫瑰糠疹是一种自限性炎性皮肤病,一般来说,玫瑰糠疹六至八周就会自行消失,因此发现这样的玫瑰色红斑时,不要自行乱涂乱治。在治疗上一般可用抗组织胺、抗病毒治疗及外用治疗类固醇来帮忙止痒。严重时可增加口服类固醇加速斑疹愈合。有瘙痒者,可酌情口服维生素B类、维生素C及钙品等来保护血管,应注意避免搔抓患处。
【成功案例】
李明年龄:18 发病史:1周 就诊日期:2012年9月
疾病类别:玫瑰糠疹
表现症状:身起了很多大红点,肚子前面也长了一块一块的红斑,起初还以为是长癣了,不痛也不痒,还有发低烧、有头痛、咽喉痛、四肢关节酸痛等症状。
疾病主诉:前几天身起了很多大红点,脖子后侧长了一块斑,起初还以为是长癣了,不痛也不痒,今天开始发低烧、有头痛、咽喉痛、四肢关节酸痛等症状。
疾病治疗:南昌中山皮肤病医院专家诊断为玫瑰糠疹,采用我院的“中西医结合解毒健肤疗法”进行治疗,一个疗程之后,患者脸上的皮肤恢复正常,彻底痊愈。
诊疗周期:1个月
治疗效果:治疗了1个月后患者再来复查,已经恢复健康。
主治专家:甘春芝
目前认为玫瑰糠疹发病与病毒感染有一定关系,此类患者往往先有感冒或类似感冒的症状,之后于躯干、四肢近端出现蚕豆大或核桃大小的、玫瑰红色的斑疹。1-2周后逐渐出现大量类似斑疹,呈散发或密集。有的自觉发痒,痒感轻重不等。个别病人有低烧、头痛、全身不适、咽喉痛、关节痛或淋巴结肿大等全身症状。因此要预防感冒,增强抵抗力。饮食宜清淡,少吃辛辣刺激食物。
作为华东权威的皮肤病医院——南昌中山皮肤病医院既然在皮肤病的治疗上较之其他医院有如此之多的优势,那么在玫瑰糠疹的治疗上效果如何?玫瑰糠疹的治疗方法是什么?
“中西医结合解毒建肤疗法”追根潮源,融合多种方法治疗玫瑰糠疹更有效彻底
治疗原理:高效清除体内过敏原,利用现代生物萃取技术,制备纳米级穿透性极强、具高效清除能力的抗敏生物复合分子,进入人体细胞清除自由基。
治疗优势:标本兼治,深层治疗有效吸收:内调脏腑,外疗肌肤,产品活性酶在修复皮肤组织细胞的同时形成保护膜,激活皮肤细胞组织的新生,使皮肤表层及深层受损组织恢复正常结构,血运恢复正常,并深度提高病区皮肤的抵抗力,真正达到了标本兼治。

玫瑰糠疹属中医“风热疮”、“风癣”范畴。中医认为该病是因内有血热,复感风邪,热毒凝结,郁于肌肤,闭塞腠理而发病;或汗出当风,汗衣湿透肌肤所致。中医治疗以清热、凉血、消风止痒为主。此外可配合现代仪器治疗,效果更佳。
南昌中山皮肤病医院专家建议:各位患者,不要有病乱投医,以免耽误了治疗玫瑰糠疹的最佳时机。治疗玫瑰糠疹要科学治疗,不要治标不治本,以防止玫瑰糠疹复发。
温馨小贴士:南昌中山皮肤病医院由国内知名皮肤病专家亲自坐诊,我院专家采用西医诊治和中医辨证施治相结合,运用无污染、无创伤、无毒副作用的绿色疗法,强调治病求本,标本兼治!可以有效地治疗各种湿疹、皮炎、银屑病、扁平疣、痤疮、色素斑、荨麻疹、脱发、鱼鳞病、白癜风、雀斑、带状疱疹、毛周角化症等各类皮肤病疑难杂症。安全可靠的把患者体内的毒素全部排出,从而达到标本兼治的效果!
在线咨询预约就诊优势
★在线免费咨询——权威皮肤病专家24小时在线一对一“问诊”
★提前预约挂号——免专家挂号费、免会诊费、优先就诊,轻松就医。
★假日专家门诊——方便患者休息日看病,不影响上班,提供更人性化服务。
医院电话:0791-88116677 接诊时间: 8:00-17:30(节假日不休)
QQ:77891588
医院地址:江西省南昌市西湖区站前西路49号、173号
乘车路线:乘坐5路、6路、18路内线、18路外线、26路内环、26路外环、206路、219路长班空调、221路空调、225路长班空调、 230空、230路空调、233长班、233路、305路、305夜、310路、316路到市公交总公司下车即可。
火车站线路:乘坐305路(或18路内线,219路长班空调,5路,221路空调), 在“市公交总公司站”下车即可。
- 上一篇:玫瑰糠疹中西医结合疗法
- 下一篇:玫瑰糠疹最佳治疗方法
- ★★★★★
- 5.0
- 5.0
- 5.0
- 我要评论










科室一览










