皮肤过敏的症状有哪些
来源:南昌中山皮肤病医院【专家在线咨询】

【案例重现】家住南昌市西湖区笋岗的周先生,自小便伴有过敏体质,随着季节的变化,经常出现皮肤过敏反映。经多家医院治疗,没有取得效果,反倒因激素的反跳作用,他的疾病越来越重。近几年更是容易发作,稍稍强烈一点的阳光也能让他出现过敏的情况。
有疑问?看不明白?不想阅读文章?↓那就点击点击下面这张图片免费和专家交流吧
来到南昌中山皮肤病医院后,专家为他做了全面检查,决定采用本院研发的“3T通调疗法”全方位治疗周先生的过敏性疾病。经过三个月左右的治疗,现在周先生的病已经基本痊愈,更重要的是,改变了他自幼的过敏性体质,使他可以轻松舒适的生活。
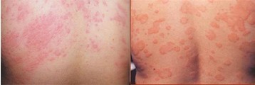
南昌中山皮肤病医院专家沈朝禄教授说:皮肤过敏的症状多种多样,根据不同的发病原因,呈现不同的过敏症状。皮肤过敏的主要表现为皮肤红肿、搔痒、疼痛、荨麻疹、湿疹、斑疹、丘疹、风团皮疹等。
(1)药疹有些药物会引起皮肤过敏反应,主要表现为皮肤红斑、紫癜、水泡及表皮松懈、瘙痒疼痛,有时还会伴随低热。皮疹消退后多无色素沉着。西药过敏较为多见,如青霉素、磺胺类(如smz)、安乃近过敏。而中药中的某些成份也可作为过敏原。据报道能引起过敏反应的草药有鱼腥草、鸦胆子、天花粉、冰片、大黄等。中成药如六神丸、牛黄解毒片、复方当归注射液、丹参舒心片等。药疹发生后,必须立即停用该类药。
过敏性皮炎症状
有相似症状,免费点击向专家咨询一下<<<
(2)接触性皮炎指皮肤接触某种物质后,局部发生红斑、水肿、痒痛感,严重者可有水泡、脱皮等现象出现。能使皮肤产生接触性皮炎的物质有首饰、表链、镜架、凉鞋、化纤布料、外用药、化学品、化妆品等。一旦发现有上述症状,立即寻找导致过敏的物品,并停止接触,容易发生接触性皮炎的人多属于过敏人群。
(3)湿疹有明显渗出。近年来湿疹的发病率有上升的趋势,这与化学制品的滥用、环境污染、三废治理不善、生活节奏加快、精神压力加大等因素有关。发病特点:任何年龄均可发病;可发生于体表的任何部位;反复发作;局部或全身可见红斑、丘疹、水泡、糜烂、渗出、结痂、脱屑、色素沉着;剧烈瘙痒。
荨麻疹症状
描述不清楚,点击在线免费咨询专家了解荨麻疹症状 《《《
(4)荨麻疹(风团、风疹块)定义:机体对各类刺激在皮肤上表现的一种血管神经性反应(皮下组织的小血管扩张,管壁的通透性增大,发生渗出作用,形成局部水肿)。病因:㈠外在接触冷、热、日光等刺激;蚊、虫叮咬;荨麻、漆树等植物;㈡内部接触鱼、虾、海产品、蘑菇、磺胺类药、水杨酸、青霉素、血清、寄生虫产生的毒素;㈢精神神经月经不调、精神紧张、疲倦、抑郁等;㈣家族遗传史(过敏体质的遗传)。症状:㈠皮肤突然剧烈瘙痒或烧灼感。㈡出疹:患处迅速出现大小不等的、局限性块状的浮肿性风团,小到米粒,大至手掌大小,常见为指甲至硬币大小,略高于周围皮肤。
皮肤划痕症
我有皮肤划痕症小疑问,点击免费咨询专家《《《
(5)皮肤划痕症皮肤瘙痒,用手抓后起一条条伤痕。严重时不划,稍与硬物挤碰就会发病,症状同荨麻疹。
紫外光过敏
我要咨询,我有紫外线过敏病 <<<
(6)紫外线过敏阳光中的uva和uvb这两种穿透性紫外线,会直达皮肤真皮层,使过敏体质的人身上出现红、灼、热、痛,这便是医学上常说的日光性皮炎即紫外线过敏。同时,紫外线辐射还会导致健康杀手——自由基在体内急剧增加,使局部皮肤产生皱纹、色素沉积、细胞损害,甚至改变免疫系统,造成更严重的光毒性和光过敏反应。常规紫外线防护措施包括防晒霜和防紫外线遮阳伞的使用,防晒霜只能阻挡部分uva,对uvb则不太管用,而防紫外线遮阳伞对从地面和墙面反射来的紫外线根本无能为力。专家指出:日光性皮炎、紫外线过敏者必须内治。
(7)食物过敏食物过敏的表现可以是多种多样的,皮疹最为常见,多发生在脸部、口周的红斑,躯干部也较多见,瘙痒脱屑,并可有色素沉着。另有一种,在食用野菜后,经日光照射皮肤可出现光感性皮炎,面颈手部呈现慢性浮肿,全身乏力、恶心、腹泻、腹痛。引起过敏的常见食物有海鲜(尤其是贝类)、笋、香菇、牛奶、番茄、大麦、野菜、水果、果仁、大豆、花生、巧克力等,但有时引起过敏的并非食物本身,而是消毒剂、防腐剂等,也有人发现同时服用青霉素、牛奶也会引起过敏反应,此时的病因应该是青霉素的可能性大。
化妆品过敏
(8)化妆品过敏化妆品能导致皮肤红、肿、热、痛、起水泡等过敏症。从医学角度讲,如果发现对某种化妆品过敏,最好不用。但生活中有时却又离不开,如中老年人染发和职业女性的淡妆。这时最科学的方法是从根本上改善过敏体质。
我的皮肤过敏属于上面哪一种情况呢?点击发送你的症状图片,专家为你鉴别诊断
提醒注意:皮肤过敏的症状可以有多种形式,多种原因并发,是我们生活中经常会遇到的一种皮肤疾病,治疗起来相对容易,但是要改变自身的过敏体质,增强对过敏源的抵抗能力,需要找到一种合适的方法才能彻底改变自身体质,那么如何治疗皮肤过敏这一疾病呢?
(疗法推荐)“3T通调疗法”全方位治疗过敏性皮肤病
“3T通调疗法”根据中医“病在肌肤,根在血液,治血必治脏”的理论,采用医外治法(穴位介入、净血疗法)、免疫调节系统和中药熏蒸法完美融合的中医治疗理念,采用现代生物工程技术与中医的草本化和西医的现代化联合应用。针对各种不同原因所致的皮炎、湿疹、荨麻疹,采用个性化临床治疗方案,可以彻底治疗各种皮炎、湿疹、荨麻疹。
(疗法特色)“3T通调疗法”的技术优势
◆1、快速高效:针对患者不同过敏源,采用个性化治疗方案,结合中药整舱熏蒸治疗系统,将中药物理作用于病灶,可快速产生抗过敏源体;
◆2、疗效持久:将中药物理作用于病灶,可彻底改变过敏体质,有效调节机体免疫力恢复,恢复自然生理机能,避免长时间口服西药激素及外用膏剂所导致的毒副作用;
◆3、防止复发:辅以中药内调外治,加强病灶营养,提高自身免疫力,保持机体自然生理机能动态平衡,恢复皮肤自我养护功能,彻底解决复发难题。
(专家提示)注意日常防护皮肤过敏
专家温馨提示,为了您的健康和美丽,在日常生活中防护皮肤过敏,要注意做到以下几点:
1、要远离过敏原。如在春季花粉飞扬的地区,要尽量减少外出,避免吸入花粉过敏原。
2、避免过度曝晒。因为紫外线穿透力特别强,经常曝晒会使皮肤变薄,更容易受到刺激,注意使用防晒产品。
3、慎用化妆品。若要使用新的化妆品,应先做皮肤试验,若是出现异常反应,如发炎、泛红、起斑疹等,就必须避免使用该化妆品。
4、注意饮食防敏。要多食新鲜的水果、蔬菜,饮食要均衡,最好包括大量含丰富维他命C的生果蔬菜,任何含维他命B的食物,平时多饮用清水。
5、保持个人卫生。随身衣物要冲洗干净,残余在衣物毛巾中的洗洁精可能刺激皮肤。
6、注意睡眠和运动。睡眠具美容功效,每天八小时的充分睡眠,是任何护肤品都不能代替。运动能增进血液循环,增强皮肤抵抗力,进入最佳状态。
【特色服务】在线咨询预约现已开通,方便就诊。
南昌中山皮肤病医院积极贯彻卫生部《关于在公立医院施行预约诊疗服务工作的意见》,率先推出网上预约挂号服务,切实解决南昌市民看病难问题,今起,皮肤病患者可通过网络,在线预约中山皮肤病医院皮肤科专家号。也可以直接拨打我院的专家咨询热线0791-88116677获得最专业的解答。
在线咨询预约就诊优势:
★在线免费咨询——权威皮肤病专家24小时在线一对一“问诊”
★提前预约挂号——免专家挂号费、免会诊费、优先就诊,轻松就医。
★假日专家门诊——方便患者休息日看病,不影响上班,提供更人性化服务。
医院电话:0791-88116677 接诊时间: 8:00-17:30(节假日不休)
QQ:77891588
医院地址:江西省南昌市西湖区站前西路49号、173号
乘车路线:乘坐5路、6路、18路内线、18路外线、26路内环、26路外环、206路、219路长班空调、221路空调、225路长班空调、 230路空调、233长班、233路、305路、305夜、310路、316路到市公交总公司下车即可。
自家车线路:江西省南昌市西湖区站前西路49号、173号即到。
- 上一篇:改善皮肤过敏症状注意事项
- 下一篇:过敏皮肤病症状以及图片
- ★★★★★
- 5.0
- 5.0
- 5.0
- 我要评论
















科室一览










