不同类型荨麻疹的症状特点
来源:南昌中山皮肤病医院【专家在线咨询】

不同类型荨麻疹的症状特点。荨麻疹是人们非常熟悉的一种皮肤疾病,由于发病原因等不同,使得荨麻疹出现了很多的分类,每种分类的症状特点也有所不同。
荨麻疹是一种常见的皮肤科疾病,因此人们对荨麻疹的关注度也较高。不同类型的荨麻疹会表现出不同的症状,下面我们就一起看一下荨麻疹症状都有什么?希望可以帮助大家更好的了解荨麻疹。
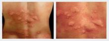
1、急性荨麻疹:发病迅速,皮疹呈多形性。也是最主要的荨麻疹的症状,表现为红斑水肿基础上的丘疹、丘疱疹、水疱、糜烂、渗出、结痂等,损害境界不清,严重时荨麻疹的症状可泛发全身,瘙痒剧烈。
2、亚急性荨麻疹:为急性炎症减轻后的荨麻疹的症状,皮疹以小丘疹、鳞屑和结痂为主,荨麻疹的症状会仅有少量的丘疱疹、水疱及糜烂; 荨麻疹患者的皮损较为局限,瘙痒仍较剧烈。
3、慢性荨麻疹:由急性湿疹、亚急性湿疹反复发作转变而来。荨麻疹患者可表现为皮肤粗糙、抓痕、结痂、浸泡肥厚,部分苔藓样变、色素沉着,外周可散在有丘疱疹。是常见的荨麻疹的症状。
以上就是荨麻疹的症状,希望对患者的病情有所帮助,同时也希望对荨麻疹的治疗起到一定的辅助作用。>>>详情请咨询在线专家<<<
南昌中山皮肤病医院“3T通调疗法”标本兼治荨麻疹。
“3T通调疗法”根据中医“病在肌肤,根在血液,治血必治脏”的理论,采用医外治法(穴位介入、净血疗法)、免疫调节系统和中药熏蒸法完美融合的中医治疗理念,采用现代生物工程技术与中医的草本化和西医的现代化联合应用。针对各种不同原因所致的皮炎、湿疹、荨麻疹,采用个性化临床治疗方案,可以彻底治疗各种皮炎、湿疹、荨麻疹。
不同类型荨麻疹的症状特点就为大家简单的介绍到这里,具体的疾病类型,还得到专业的皮肤科医院进行检查后才能知晓,在治疗上,一定要进行对症的针对性治疗,这样才能更好的治愈该病。如果还有不明白的地方,欢迎大家点击网站在线专家或拨打免费咨询热线0791-88116677与我院牛皮癣专家进行一对一的交流。愿患者朋友们早日康复!
医院电话:0791-88116677 QQ:77891588 接诊时间: 8:00-17:30(节假日不休)
医院地址:江西省南昌市西湖区站前西路49号、173号
乘车路线:乘坐5路、6路、18路内线、18路外线、26路内环、26路外环、206路、219路长班空调、221路空调、225路长班空调、 230路空调、233长班、233路、305路、305夜、310路、316路到市公交总公司下车即可。
- 上一篇:胆碱能性荨麻疹的症状表现
- 下一篇:慢性荨麻疹的症状
- ★★★★★
- 5.0
- 5.0
- 5.0
- 我要评论






科室一览










