ÄÒÖ×ÐÍÇà´º¶»ÊÇÔõô»ØÊ ÔõôÖÎÁƺÃ
À´Ô´£ºÄϲýÖÐɽƤ·ô²¡Ò½Ôº¡¾×¨¼ÒÔÚÏß×Éѯ¡¿

ÄÒÖ×ÐÍÇà´º¶»ÊÇÇà´º¶»µÄÒ»ÖÖ£¬ÊÇÇà´º¶»ÖбȽÏÑÏÖØµÄÒ»ÖÖ£¬¶ÔÓÚ»¼ÕßÀ´ËµËüµÄΣº¦Ò²ÊDZȽϴó£¬ÄÇôÄÒÖ×ÐÍÇà´º¶»ÊÇÔõô»ØÊÂÄØ?¸ÃÔõôÖÎÁÆ?

ÄÒÖ×ÐÍÇà´º¶»µÄÖ¢×´
ÄÒÖ×ÐÍÇà´º¶»²»Öλ᲻»áÁô°ÌºÛ£¿µã»÷×ÉѯÔÚÏßר¼Ò
ÄϲýÖÐɽƤ·ô²¡Ò½ÔºÖøÃûƤ·ô²¡×¨¼ÒÖ¸³ö£¬ÄÒÖ×ÐÍÇà´º¶»µÄ²¡Òò¸´ÔÓ£¬Ê×ÏÈÐÛ¼¤ËØ·ÖÃÚ¹ýÊ¢ÊÇÇà´º¶»·¢ÉúµÄ×îÖ÷ÒªÔÒò£¬ÐÛÐÔ¼¤ËØÄܹ»´Ì¼¤Æ¤Ö¬ÏÙÔö¶à£¬µ¼ÖÂëÄҵĽǻ¯£¬¶ÂÈûë¿×¶øÒý·¢Ñ×Ö¢£¬´Ó¶øÐγÉÇà´º¶»¡£
Æä´Î£¬ÉíÌåÄÚÔÚ¼²²¡»òÊǹ¦ÄÜÎÉÂÒ£¬ÀýÈçθ¡¢Éö¡¢¸ÎµÈÔàÆ÷²¡±ä£¬ÌرðÊÇ賦¹¦ÄܳöÏÖÎÉÂÒ£¬±ãÃØµÈµÈÒòËØ¶¼»áÓÕ·¢ÄÒÖ×ÐÍÇà´º¶»£¬×îºó£¬ÄÒÖ×ÐÍÇà´º¶»ºÍÅ®ÐÔÉúÀíÖÜÆÚÒ²ÓкܴóµÄ¹ØÏµ£¬ÓÐЩŮÐÔÔÚÔ¾À´ÁÙ֮ǰ£¬Ö¢×´¾Í»á¼Ó¾ç£¬¾«Éñ½ôÕÅ¡¢Æ£À͹ý¶È¡¢Ë¯Ãß²»×ãµÈµÈ¡£²»Í¬µÄ²¡ÒòËù±äÏÖÔÚÆ¤·ôÉϵÄÖ¢×´Ò²²»¾¡Ïàͬ¡£
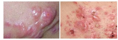
ÄÒÖ×ÐÍÇà´º¶»±äÏÖ³öÀ´µÄÖ¢×´£º
1.ÄÒÖ×ÐÍÇà´º¶»µÄÖ¢×´»áÓÐÌÛÍ´µÄ¸Ð¾õ£ºÄÒÖ×ÐÔÇà´º¶»¸÷ÖÖË𺦴óСÉîdz²»µÈºÃ·¢ÓÚÑÕÃæ¡¢Ðر³²¿¶àÖ¬Çø£¬Å¼¶ûÒ²·¢ÉúÓÚÆäËü²¿Î»£¬¶Ô³Æ·Ö²¼£¬ÑÕÃæÖÐÑëÓÈÆäÊDZDz¿¼°ÑÛ¿ôÖÜΧ³£²»ÊÜÇÖ·¸£¬¶àÎÞ×Ô¾õÖ¢×´£¬ÈôÑ×Ö¢ÖøÃ÷ʱÔò¿ÉÒýÆðÌÛÍ´¼°´¥Í´¡£
2.ÄÒÖ×ÐÍÇà´º¶»µÄÖ¢×´ÒÔºÚÍ··Û´ÌΪÖ÷£ºÄÒÖ×ÐÍÇà´º¶»µÄÕý×°±íÏÖÖ÷ÒªÊÇÆ¤Ëð´¦Ë𺦶àΪºÚÍ··Û´Ì£¬¼ÓÒÔ¼·Ñ¹£¬¿É¼ûÓÐÍ·²¿³ÊºÚÉ«¶øÌ岿³Ê»Æ°×É«°ë͸Ã÷µÄ֬˨Åųö£¬Æ¤Õî¶¥¶Ë¿É³öÏÖСŧðå£¬ÆÆÀ£»òÎüÊÕºóÒÅÁôÔÝʱÐÔÉ«ËØ³Á×Å»òС°¼×´°ÌºÛ¡£
3.ÉÙÊý»¼ÕßÓÐÑ×ÐÔ½á½Ú»òÄÒÖ×£ºÉÙÊýÑÏÖØ»¼Õߣ¬³ýºÚÍ··Û´Ì¡¢ÇðÕŧðåÍ⣬ÉпɼûÓв϶¹ÖÁÖ¸¼×´óµÄÑ×ÐÔ½á½Ú»òÄÒÖס£ÄÒÖ×ÐÔ×ù´¯ÐγɶàÊý´óС²»µÈµÄƤ֬ÏÙÄÒÖ×£¬³£¼Ì·¢»¯Å§¸ÐȾ£¬ÆÆÀ£Á÷ŧ£¬ÐγÉñ¼µÀ¼°°ÌºÛ¡£
ר¼ÒÌáÐÑ£¬ºÜ¶àÈ˰ÑÇà´º¶»µ±³ÉÊÇÇà´ºÆÚµÄÕý³£ÏÖÏó¶ø²»¼ÓÖØÊÓ£¬ðî´¯³ýÁ˲¡ÒòÖ¢×´¸´ÔÓÒÔÍ⣬»¹ÊÇÒ»ÖÖÒ»·´¸´·¢×÷µÄƤ·ô¼²²¡£¬Èô¹ûûÄܵõ½ºÃµÄÖÎÁÆ£¬²»½ö»áÑÏÖØÎ£º¦»¼ÕßµÄÉíÌ彡¿µ£¬»¹»áÔÚ»¼Õ߯¤·ôÁôÏÂÎÞÊý°ÌºÛ£¬ÑÏÖØÓ°Ïì¸öÈËÐÎÏó£¬Èç¹ûÊÇÔÚÁ³Éϵϰ£¬ÉõÖÁ¸ø»¼ÕßÔì³É»ÙÈÝÐÔÉ˺¦¡£
ÄÒÖ×ÐÍÇà´º¶»·¢²¡¶Ô»¼ÕßÓÐÄÄЩΣº¦£º
1.ÄÒÖ×ÐÍÇà´º¶»¶Ô»¼ÕߵŤ×÷¡¢Éú»îÔì³ÉÓ°Ïì¡£²»ÉÙÐèÒªÅ×Í·Â¶ÃæµÄÐÐÒµÈçÍâ½»½ç¡¢ÐÂÎŽ硢¹«¹ØÈËÔ±¡¢½Ìʦ¡¢ÑÝÔ±¡¢¸èÐÇ¡¢Ô˶¯Ô±¡¢µ¼ÓÎÔ±µÈ£¬¶¼ÊÓ±¾²¡(Ö¸½ÏÖØÐÍ)Ϊ´ó¼É¡£¶ÔÇóÖ°ÕßÀ´Ëµ£¬¾³£ÓÐÈËÒò´Ë¶ø²»ÄÜͨ¹ýÃæÊԹء£Çà´º¶»»¼Õß±¾ÈËÒ²³£×Ô²ÑÐλ࣬ÉõÖÁ±»¸ïÖ°£¬ÕâЩÈ˵ĻéÁµÒ²³£Êܵ½Ó°Ïì¡£
2.ÄÒÖ×ÐÍÇà´º¶»ÓÐËðÃÀÈÝ¡£ÓÐЩ»¼ÕßÉõÖÁ×Ô¼ºÓÃÊÖ¿Ù¡¢¼·¡¢Æþ¡¢ÓÃÕëÍÚÇà´º¶»£¬ÈÏΪ°ÑŧÅųöÈ¥ÂýÂý¾ÍºÃÁË£¬×îºó¼·µÃÔ½À´Ô½¶à£¬ ÂúÁ³¶¼Êǰ߰ߵãµã¡¢¿Ó¿ÓÍÝÍÝ£¬Êë²»ÖªÕâÊǼ«²»¿ÆÑ§µÄ·½·¨£¬ÓкܶàÒ»²¿·Ö»¼ÕßÒòΪÇà´º¶»ÅªµÃÃæÄ¿È«·Ç£¬ÉõÖÁ¿´ÉÏÈ¥ÊÇÂúÁ³°ÌºÛ¸í´ñ£¬ÑÏÖØÆÆÏà¡¢»ÙÈÝ¡£
3.ÄÒÖ×ÐÍÇà´º¶»Ó°Ï컼ÕßÐÄÀí½¡¿µ¡£Çà´º¶»¶Ô»¼Õߵľ«Éñ¡¢ÐÄÀí¡¢ÇéÐ÷¶¼ÊǾ޴óµÄ´ò»÷ºÍÎÞÇéµÄÕÛÄ¥¡£ÒòÑÏÖØðî´¯ºÍ»ÙÈÝÐÔðî´¯¾ÃÖÎÎÞЧ¶øÇáÉúÕßÓÐÖ®¡£
4.Çà´º¶»¶Ô»¼ÕßÉíÌ彡¿µÔì³ÉΣº¦¡£³ýÁËÐÄÀí½¡¿µÖ®Í⣬»¯Å§¸ÐȾÐÔË𺦶ÔÉíÌåÈ·ÓÐÒ»¶¨Íþв¡£¼±ÐÔ»¯Å§²¡±ä¿ÉÓз¢ÈÈ¡¢Î·º®¡¢²»ÊÊ¡¢ÁܰͽáÖ×´ó¡¢°×ϸ°ûÔö¶àµÈÈ«ÉíÖ¢×´£¬ÂýÐÔ»¯Å§ÐÔ²¡±äÔò¿ÉÐγɸÐȾÔ¶ÔÉíÌåµÄÓ°ÏìËä½ÏÒþÄ䣬µ«Ò²¸üÉî¸ü¹ã¡£
¡¾ÌØÉ«ÁÆ·¨¡¿ÖÐÎ÷Ò½ÎåÁªÇå¶»ÁÆ·¨£¬ÖÎÁÆÇà´º¶»²»¸´·¢
ÖÐÎ÷Ò½ÎåÁªÇå¶»ÁÆ·¨Î岿Çú£º
1.Çå½à£¬É±¾ú£º½à·ôÊǹؼü£¬Ò²ÊÇÖÎÁƵĵÚÒ»²½¡£ÝÍÈ¡¶þÊ®ÈýÖÖÃû¹óÖÐÒ©¾«»ª£¬Ê¹Ò©ÎïÉøÈ뼡·ô»ùµ×²ã£¬»¼ÕßÔÚ±¶¸ÐÇåˬÎÞÍ´µÄÇé¿öÏ£¬Åųö»ý´æ´úл¡£
2.ÏûÑ×£¬°Î¶»£º³¬Ï¸Î¢·Ö×ÓË®¼ÁÉøÍ¸£¬½áºÏ¹ú¼ÊÏȽø“»ºÊÍ”¼¼Êõ£¬ÉøÍ¸Ã«ÄÒµÄ203um´¦ÕæÆ¤²ã,ѸËÙÎü×ß΢·Û´Ì£¬ÏñÉúÎïÊÖÊõµ¶Ò»Ñù£¬Õ¶³ý¶»¸ù£¬×èÖ¹¶»¶»³¤´ó¡¢ÂûÑÓ¡£
3.ÖÐÒ©Àë×Óµ¹Ä¤£¬Çå³ý¶¾ËØ£º±ü³ÐÖлªÒ½Ñ§ÀíÂÛ£¬¿ª´´³ö×Ô¼º¶ÀÌØµÄÖÐÒ©Àë×Óµ¹Ä¤ÁÆ·¨£¬´Ù½øÆ¤·ôÉúÀíÑ»·£¬Çå³ý¶¾ËØ£¬ÓÐЧµ÷ÀíÓÍÐÔ·ôÖʵÈÌØÐÔ£¬¸ÄÉÆÄÚ·ÖÃÚìî³ý²¡Òò¡£
4.ÍêÃÀÑ©·ô£¬Î¢¾§Ä¥Ï÷¼¼Êõ£ºÀûÓÃÉÏÆ¤×éÖ¯ÔÙÉúÔÀí£¬¸ßËÙÅç³ö΢¾§Á£×Ó×÷ÓÃÓÚ±íÆ¤Éî²ã£¬´Ì¼¤½ºÔµ°°×¼°ÏËά×éÖ¯¸üУ¬´Ù½øÐÂϸ°ûÉú³¤£¬ÓÐЧÐÞ¸´Çà´º¶»°ÌºÛ¡£
5.Ó¢¹ú¹â¶¯Á¦À¶¹â¼¼Êõ£ººìÀ¶¹âÖÎÁÆÏµÍ³ÓÃÓÚÇà´º¶»ÖÎÁƵĹâѧÉ豸¡£Ê×Ñ¡ÕÆ×LED¹âÔ´ìî¶»£¬À¶¹âÏûÑ×ɱ¾úìî¶»;ºì¹âÐÞ¸´Æ½ºâƤ·ô;ÎÞ×ÆÍ´¸Ð¡£×îÖÕ´ïµ½Çå³ýÇà´º¶»£¬²»Áô¶»Ó¡¡£

ÖÐÎ÷Ò½ÎåÁªÇå¶»ÁÆ·¨ËÄ´ó¼¼ÊõÓÅÊÆ£º
1.×è¶Ï²¡ÔÀûÓÃÖÐÒ½µÄºÏÀíµ÷Å䣬Éî²ãÇå³ýÌåÄÚʪ¡¢ÈÈ¡¢»ð¡¢Ñס¢¶¾£¬×è¶ÏÇà´º¶»·¢²¡¸ùÔ´£¬ÔÙÅŶ¾¡£É±¾úµÄͬʱÐÞ¸´ÊÜËðϸ°û£¬×è¶Ï²¡Ôî¡£
2.ÄÚÍâ¼æÖΣºÖÐÒ©µ÷ÕûµÄ¹ý³ÌÖУ¬½áºÏ¼¤¹âÖÎÁÆÏµÍ³£¬¶ÔÇà´º¶»²¿Î»½øÐÐÈ«ÃæÉ±¾ú£¬¼ÓËÙ¾Ö²¿Î¢Ñ»·£¬¿ìËÙÅųýÌåÄÚ¶¾ËØ£¬»Ö¸´ÄÚ·ÖÃÚÆ½ºâ¡£
3.¿ìËÙ»Ö¸´Æ¤·ô¹â½à£º´«Í³ÖÐÒ©ÄÚ·þ½áºÏÖÐÒ©Æû»¯Ñ¬Õô£¬Ê¹Ò©Ð§¿ìËÙÉøÍ¸£¬Éî²ãÇå½àë¿×£¬ÐÞ¸´Çà´º¶»Íⲿ°ÌºÛºÍ¶»Ó¡£¬Çå³ýÉ«°ß£¬ÐÞ¸´°ÌºÛ£¬ÖØËܹâ½àƤ·ô¡£
4.ÎÞ¸±×÷Óã¬ÎÞÐèÐݼ٣ºÖÎÁÆ¶ÔÆ¤·ôûÓÐÈκδ̼¤£¬Ã»ÓйâÃôÏÖÏó£¬ÎÞ¸±×÷Óá£ÖÎÁƹý³ÌÇáËÉ£¬°²È«£¬ÎÞÈκÎÍ´¿à¡£ÖÎÁÆÊ±¼ä¶Ì£¬ÎÞÐèסԺ¡£

¡¾Çà´º¶»°¸Àý¡¿6ÄêÇà´º¶»Ö®¿à ÖÕÔÚÄϲýÖÐɽƤ·ô²¡Ò½ÔºµÃЧ¹ûÃ÷ÏÔ
´Ó¸ßÈýÆð£¬ÏÄС½ãÁ³ÉÏ¿ªÊ¼³¤³öÄÕÈ˵ēÇà´º¶»”£¬¶Ï¶ÏÐøÐø¡¢Ô½³¤Ô½¶à¡£Ê®°ËË껨¼¾£¬ÕýÊǰ®ÃÀµÄÄê¼Í£¬¿ÉÕâÂúÁ³´ó´óСС¡¢´ËÆð±Ë·ü¡¢Ã°×ÅŧֵĶ»¶»£¬ÈÃËýÉî¸Ð“¶ªÃæ×Ó”¡£ÓÚÊÇ£¬´ËºóµÄÁùÄ꣬¼¸ºõ³ÉÁËËý“Õ½¶»”µÄÁùÄ꣬Õâ¸ö°®ÃÀµÄÅ®º¢°ÑÖκÃ×Ô¼ºÁ³ÉϵĶ»¶»£¬µ±³ÉÁËÇà´ºÆÚÈËÉúµÄµÚÒ»ÒªÒåºÍÍ·µÈ´óÊ¡£¿ÉÊÇ£¬ÓÉÓÚÖÎÁƲ»µÃ·¨£¬ËýµÄ²¡ÇéʱºÃʱ»µ£¬·´¸´²»Óú£¬¸ü¼ÓÁîËý´óÉËÄԽ

ÏÄС½ãÖÎÁÆÇ°ºó¶Ô±È
ÖÎÁÆÇà´º¶»Òª¶àÉÙÇ®£¿µã»÷Ãâ·Ñ×ÉѯÔÚÏßר¼Ò
2009Äêµ×£¬ÏÄС½ãÔÚÍøÂçÉÏÁ˽⵽ÄϲýÖÐɽƤ·ô²¡Ò½ÔºÖÎÁÆÇà´º¶»ÓГ¸ßÕД£¬±ã±§×ÅÒ»ÏßÏ£ÍûÉÏÃÅÇóÒ½¡£Îª´Ë£¬ÎÒԺר¼ÒΪËý×öÁËϸÖ¼ì²é¡¢¿ÆÑ§Õï¶Ïºó£¬²ÉÈ¡"ÖÐÎ÷Ò½ÎåÁªÇå¶»ÁÆ·¨"£¬¾¹ýÒ»¸öÐÇÆÚµÄÖÎÁÆ£¬»ñµÃÃ÷ÏÔÁÆÐ§¡£ÏÖÔÚ£¬ÏÄС½ãµÄ¶»¶»È«²¿ÏûʧÁË£¬Á³²¿Ã«¿×±äСÁË£¬ÃæÉ«ÏÔµÃÓйâÔóºÍ°×¾»ÁË¡£¶Ô´Ë£¬ÏÄС½ãºÜÂúÒâ¡£2010ÐÂÄêÒÁʼ£¬ËýÌØÒâÀ´µ½ÄϲýÖÐɽƤ·ô²¡Ò½Ôº´ðлΪËýìî³ý¼²²¡µÄר¼Ò¡£¿´µ½ËýÃæÈݽ¿ºÃ¡¢Æ¤·ôϸÄÛ£¬²»ÖªÇéµÄÈ˺ÜÄÑÏàÐÅ£¬ËýÔø±¥ÊÜÁùÄêÖ®¾ÃµÄðî´¯Ö®¿à¡£
ÈçºÎÑ¡Ôñ×îºÃµÄÒ½ÔºÖÎÁÆ£¿
³öÏÖÇà´º¶»(¶»¶»¡¢·Û´Ì)ʱ£¬ÇÐÎðÔÚûÓмá³ÖÇå³þ¾Í×ÔÐÐÓÃÒ©¼°Æ´Ãü¼·Ñ¹£¬ÌرðÊdzöÏÖÔÚÃæ²¿µÄ¶»¶»£¬²Ù×÷²»µ±ÈÝÒ×ÁôÏÂñ£ºÛ¡£ÄϲýÖÐɽƤ·ô²¡Ò½ÔºÌáÐÑÄú£ºÒ½ÔºµÄ×ÊÖÊ¡¢ÁÙ´²¾Ñé¡¢Ò½ÁÆÉ豸¡¢»·¾³ÎÀÉú¡¢ÖÎÁÆ·½·¨µÈ¶¼¶Ôðî´¯ÖÎÁÆÐ§¹ûÓ°ÏìºÜ´ó£¬Òò´Ë£¬ÖÎÁÆÇà´º¶»ÒªÑ¡ÔñÕý¹æ×¨ÒµµÄÒ½Ôº¡£
1.¿´Ò½Ôº×ÊÖÊ£ºÄϲýÖÐɽƤ·ô²¡Ò½ÔºÊǹú¼ÒÕý¹æÈý¼¶Æ¤·ô²¡Ò½Ôº£¬×¨×¢ÓÚÆ¤·ô²¡µÄÑо¿ºÍÖÎÁÆ¡£ÊǽÎ÷ʡһËù¼¯Ò½ÁÆ¡¢½Ìѧ¡¢¿ÆÑС¢¿µ¸´µÈΪһÌåµÄƤ·ô²¡Ò½Ôº£¬ÉîÊܽÎ÷¼°ÖܱßÊ¡ÊÐÇà´º¶»»¼ÕßµÄϲ°®¡£

2.¿´Ò½Éú¼¼Êõ£ºÆ¤ÑÐËùÓµÓÐ×îÇ¿´óµÄר¼ÒÍŶӣ¬ÊìÁ·ÕÆÎÕÇà´º¶»ÏȽøÖÎÁƼ¼Êõ£¬Òý½øÄϲýÖÐɽר¼Ò¼¼Êõ“ÖÐÎ÷Ò½ÎåÁªÇå¶»ÁÆ·¨”ÖÎÁÆÇà´º¶»£¬¸üÏÔÓÅÊÆ¡£ÈÃÇà´º¶»»¼ÕßÔÚÖÎÁƹý³ÌÖиü¼Ó°²È«¸ßЧ¡£

3.¿´Ò½ÔºÓ²¼þ£ºÄϲýÖÐɽ²»Ï§¸ß¼ÛÒý½ø¹úÍâ¶àÖÖÖÎÁƸßÐÂÉ豸£¬ÖÎÁƹý³ÌûÓÐÍ´¿à¡¢ÎÞ¸±×÷Óᢷ½±ã¿ì½Ý£¬ÊÇÄúÖÎÁÆÇà´º¶»×îÀíÏëµÄÑ¡Ôñ¡£

4.¿´Ò½Ôº¿Ú±®£ºÄϲýÖÐɽƤ·ô²¡Ò½Ôº×Ô³ÉÁ¢ÒÔÀ´£¬Ê¼ÖÕ¼á³Ö“ÒÔ»¼ÕßΪÖÐÐÄ”£¬´óÁ¦ºëÑï°×Çó¶÷¾«Éñ£¬Â½ÐøÍƳö¿´²¡Ô®ÖúµÈ¹«Òæ»î¶¯£¬°ïÖúÀ§ÄÑ»¼Õß¼õÇḺµ££¬Ò²Ó®µÃÁË»¼ÕߵĹã´óºÃÆÀ¡£

ÄϲýÖÐɽƤ·ô²¡Ò½ÔºÍÆÐÐÒÔÈËΪ±¾µÄ·þÎñÀíÄ×ðÖØºÍ±£»¤»¼ÕߵĸöÈËÐÅÏ¢ºÍÒþ˽¡£³«µ¼"ÓÃÐÄÇãÌý¡¢Ï¸ÐÄÕï¶Ï¡¢ÄÍÐĽâ´ð¡¢¾«ÐÄÖÎÁÆ¡¢ÈÈÐÄ·þÎñ¡¢ÖÔÐÄ×£¸£"µÄ"ÁùÐÄ" ·þÎñ¡£Ò½Ôº²»¶ÏÍêÉÆÒ½ÁÆÖÊÁ¿ºÍ°²È«¿ØÖÆÌåϵ£¬ÑÏ·ÀÒ½ÁÆÊ¹ʣ¬±£ÕÏÒ½Áư²È«£¬Ìá¸ßÒ½ÁÆ·þÎñµÄ°²È«ÐÔºÍÓÐЧÐÔ¡£²ÉÓùú¼ÊÁ÷ÐГһ»¼Ò»Ò½Ò»ÕïÊÒ”µÄ˽ÃÜÎÊÕïÖÆ¶È£¬È«³ÌÈËÐÔ»¯·þÎñ£¬¾ÍÕï»·¾³¶ÀÁ¢¡¢°²È«£¬¼õÇỼÕß¾ÍҽѹÁ¦£¬±£»¤ÁËÿ¸ö»¼ÕßµÄÒþ˽¡£
ÌØ±ðÌáʾ£ºÒªÏëÖÎÁƺü²²¡£¬»¼ÕßÊ×ÏȾÍÒªÊ÷Á¢ÐÅÐÄ£¬È»ºó»ý¼«ÅäºÏÒ½ÉúÖÎÁÆ£¬Ñϸñ°´ÕÕÒªÇóÖ´ÐУ¬ÕâÑù²ÅÄܵõ½¸ü¿ìµÄ¿µ¸´£¬»¼ÕßÈç¹ûÓÐʲô²»Êæ·þµÄµØ·½£¬Ò»¶¨Òªµ½Ò½Ôº¼ì²é¾ÍÕÒòΪ¼²²¡²»»áÒòΪÄúµÄÍÏÑÓ¶øºÃµÄ£¬µ«Êǿ϶¨»áÒòΪ²»¼°Ê±ÖÎÁƶø¼ÓÖØ£¬ËùÒÔ¼°Ê±¾ÍÒ½£¬Ôç¼ì²é£¬ÔçÖÎÁÆÊÇ×îºÃµÄ¡£
ÔÚÏß×ÉѯԤԼ¾ÍÕïÓÅÊÆ
¡ïÔÚÏßÃâ·Ñ×Éѯ——ȨÍþƤ·ô²¡×¨¼Ò24СʱÔÚÏßÒ»¶ÔÒ»“ÎÊÕï”
¡ïÌáǰԤԼ¹ÒºÅ——Ãâר¼Ò¹ÒºÅ·Ñ¡¢Ãâ»áÕï·Ñ¡¢ÓÅÏȾÍÕÇáËɾÍÒ½¡£
¡ï¼ÙÈÕר¼ÒÃÅÕï——·½±ã»¼ÕßÐÝÏ¢ÈÕ¿´²¡£¬²»Ó°ÏìÉϰ࣬Ìṩ¸üÈËÐÔ»¯·þÎñ¡£
ÎÂܰÌáÐÑ£ºÄϲýÖÐɽƤ·ô²¡Ò½Ôº»ã¾ÛÈ«¹úƤ·ô¿ÆÃûÒ½£¬Òý½øÒ»Á÷µÄÕïÁÆÉ豸£¬´òÔ컪¶«µØÇø“ר²¡¡¢×¨Ò½¡¢×¨ÖΔ×îרҵµÄƤ·ô²¡ÕïÁÆ»ùµØ¡£ÎªÁËÂú×㻼ÕߵľÍÒ½ÐèÇó£¬ÌØ¿ªÍ¨ÁËÃâ·ÑÍøÉÏ×ÉѯÓëÔ¤Ô¼£¬¸ü¼Ó·½±ã¿ì½ÝµÄΪ»¼Õß·þÎñ¡£ÍøÂçÈ«ÌìºòÕï£¬ÍøÉϹҺÅÖ±½Ó¾ÍÕÎÞÐèµÈºò£¬Îª¹ã´ó»¼Õß½Úʡʱ¼ä£¬ÊÇÆ¤·ô²¡»¼Õß×îÖµµÃÐÅÀµµÄÒ½Ôº¡£¡£
Ò½Ôºµç»°£º0791-88116677 ½ÓÕïʱ¼ä£º 8:00-17:30(½Ú¼ÙÈÕ²»ÐÝ)
QQ£º77891588
Ò½ÔºµØÖ·£º½Î÷Ê¡ÄϲýÊÐÎ÷ºþÇøÕ¾Ç°Î÷·49ºÅ¡¢173ºÅ
³Ë³µÂ·Ïߣº³Ë×ø5·¡¢6·¡¢18·ÄÚÏß¡¢18·ÍâÏß¡¢26·ÄÚ»·¡¢26·Íâ»·¡¢206·¡¢219·³¤°à¿Õµ÷¡¢221·¿Õµ÷¡¢225·³¤°à¿Õµ÷¡¢ 230·¿Õµ÷¡¢233³¤°à¡¢233·¡¢305·¡¢305Ò¹¡¢310·¡¢316·µ½Êй«½»×ܹ«Ë¾Ï³µ¼´¿É¡£
×Ô¼Ò³µÏß·£º½Î÷Ê¡ÄϲýÊÐÎ÷ºþÇøÕ¾Ç°Î÷·49ºÅ¡¢173ºÅ¼´µ½¡£
- ÉÏһƪ£º±³Éϳ¤Çà´º¶»Ôõô°ì
- ÏÂһƪ£ºÖÂÎÒÃÇÖÕ½«ÊÅÈ¥µÄÇà´º¶»
- ¡ï¡ï¡ï¡ï¡ï
- 5.0
- 5.0
- 5.0
- ÎÒÒªÆÀÂÛ











¿ÆÊÒÒ»ÀÀ










