得了荨麻疹?别慌,南昌中山医院让你重拾健康!
来源:南昌中山皮肤病医院【专家在线咨询】

荨麻疹是非常常见的过敏性皮肤病,诱发的因素非常多,对患者造成的影响很大,工作、生活都带来很大的困扰,为了能及时的进行治疗,大家对荨麻疹的症状需要了解的,这样才能及时发现病情,避免错过最佳的治疗时机,让自己更快的摆脱荨麻疹带来的危害。现在南昌中山皮肤病医院专家为我们讲述,常见型荨麻疹症状主要有哪些表现。
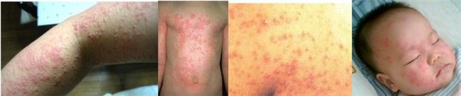
我们知道,麻疹的皮疹一般可表现为风团、潮红斑,并且大小不等,而且形状各异。荨麻疹经常会突然发生,而且可成批出现,数小时之后又迅速消退,并且在消退之后不留痕迹。
常在躯干和肢体近端皮肤(腋、掌跖除外)出现红色的0、2毫米左右的风团,这种风团速来速去不留痕迹。严重者可能伴有消化道症状,如腹痛、腹泻等。
荨麻疹多见于青年,在运动、受热、情绪紧张、吃热东西后,出现疹子,疹子很小,大多散发于胸部和上肢,剧痒。半小时至一小时内消退,或用冷水冲洗后消退。
本病可分为急性及慢性症状,急性荨麻疹发病迅速,多数在过敏及感染后发生。慢性病程则反复发作,大多数找不到病因,因此治疗起来十分困难。表面特征有暂时性炎性充血与大量液体渗出,造成局部水肿性的损害,其迅速发生与消退、有剧痒。
荨麻疹症状多为阵发性小片的风团,有红晕,潮红斑,大小不等,形状各异,可泛发全身,常突然发生,成批出现,数小时后又迅速消退,消退后不留痕迹。但可反复发作;同时伴有瘙痒,可伴有恶心、呕吐和胸闷、心悸、呼吸困难,少数有发热、关节肿胀、低血压、休克、喉头水肿窒息症状等。看文章太费劲,
点击咨询在线专家

荨麻疹给患者的工作与生活都带来很多的影响,但在治疗荨麻疹后也有复发的情况出现,为了减少荨麻疹给患者带来的危害,下面我们祥细介绍,哪些原因造成荨麻疹的反复发作,希望各位能认真看完,杜绝这些因素,避免荨麻疹的复发,重拾健康的身体。
1、精神因素:如精神紧张可致乙酰胆碱的释放,从而成为寻麻疹的发病原因。
2、各种感染:均可诱发寻麻疹.最常见的是上呼吸道感染病毒和金黄色葡萄球菌,其次为肝炎病毒。
3、海鲜、蛋类食物:某些肉类及植物性食品,如鱼、虾、蟹、鸡蛋、草莓、可可、番茄或大蒜等,都可诱发寻麻疹。
4、其它物理因素:如冷、热、日光、摩擦、压力等均可诱发寻麻疹.另外,昆虫叮咬、接触动物皮屑、羽毛及花粉的吸入均可发生寻麻疹。
5、具有抗原性质的药物:如青霉素、血清、痢特灵、疫苗、磺胺等.另外,组织胺释放药物,如阿斯匹林、吗啡、可待因、奎宁、肼苯哒嗪等.对青霉素过敏的病人,如果喝啤酒也可出现寻麻疹,原因是在啤酒制作过程中酵母菌也可产生少量青霉素,故应引起注意。
以上是对“常见型荨麻疹症状主要有哪些表现”的相关介绍,通过上文的解答,我们对荨麻疹有了更深的认识,也知道如何去发现疾病,避免荨麻疹的复发,除了要认识荨麻疹外,治疗方面更为重要,得了荨麻疹,及时到南昌中山皮肤病医院治疗,是您最佳的选择。如果您想了解更多关于荨麻疹治疗与护理的方面,可点击在线咨询专家进行一对一的咨询,专家将竭诚为您服务。如您在阅读过程中有任何疑问,
点击此处咨询在线专家

荨麻疹对人们的危害有哪些?
一、最主要的是它可以危害到人的生命。如果得了慢性的荨麻疹,如发生在呼吸道的喉头和支气管处,它会导致反复发作的喉头水肿,出现咽喉堵塞感,甚至气促、胸闷、呼吸困难,伴有心慌、烦躁、恶心等,严重者呼吸困难至窒息,危及生命安全。
二、可能诱发其他疾病。荨麻疹会引发其他的疾病,一般伴有消化道症状,会引起恶心、呕吐、腹泻和腹痛胃肠道功能紊乱,伴发溃疡性结肠炎等,其致病的主要原因是免疫功能紊乱。因此可以诱发内脏等病如自身免疫性甲亢,甚至还会导致细胞恶变。荨麻疹孕妇患者还可以导致免疫性不育及流产。
三、影响生活工作。慢性荨麻疹如果早期发病没有解决,它的病程会很长,有时迁延长达数月甚至若干年,晨起或临睡前都伴有瘙痒加重,严重影响了患者们的正常生活和心理状态。因此慢性荨麻疹必须及早发现及早治疗,而不是听之任之。》》》点击咨询更多有关荨麻疹的危害《《《
得了荨麻疹,该如何治疗?
南昌中山皮肤病医院“3T通调疗法”标本兼治荨麻疹,疗效持久。
“3T通调疗法”主要在于“一通,二调,三巩固”三步法,一通则是疏通人体经脉,打通气血;二调则是培本固原,提高机体免疫力,使外邪不易再次入侵;三巩固则是利用中药熏蒸器对全身进行排毒消炎,对身体进行巩固和全身性的修复。本疗法的关键是在第一步,我们认为风寒湿热毒等外邪,侵入人体后,游走于血液、经络,流往于肢节,致使脉络瘀阻,久瘀不治则成毒,瘀毒不散或散而不灭,从而通过瘙痒等外排作用表现出来。疏通经脉,打通气血,不仅有利于药物对机体的作用,更是打开了人体排毒的张口。
“3T通调疗法”三大技术优势:
快速高效:针对患者不同过敏源,采用个性化治疗方案,结合中药整舱熏蒸治疗系统,将中药物理作用于病灶,可快速产生抗过敏源体;
疗效持久:将中药物理作用于病灶,可彻底改变过敏体质,有效调节机体免疫力恢复,恢复自然生理机能,避免长时间口服西药激素及外用膏剂所导致的毒副作用;
防止复发:辅以中药内调外治,加强病灶营养,提高自身免疫力,保持机体自然生理机能动态平衡,恢复皮肤自我养护功能,彻底解决复发难题。
医院电话:0791-88116677 QQ:77891588 接诊时间: 8:00-17:30(节假日不休)
医院地址:江西省南昌市西湖区站前西路49号、173号
乘车路线:乘坐5路、6路、18路内线、18路外线、26路内环、26路外环、206路、219路长班空调、221路空调、225路长班空调、 230路空调、233长班、233路、305路、305夜、310路、316路到市公交总公司下车即可。
- 上一篇:如何治疗荨麻疹?
- 下一篇:荨麻疹的有效治疗方法
- ★★★★★
- 5.0
- 5.0
- 5.0
- 我要评论










科室一览










