小心三大过敏性皮肤病_南昌中国护足护肤周
来源:南昌中山皮肤病医院【专家在线咨询】

小心三大过敏性皮肤病_南昌中国护足护肤周。入秋后,天气由潮湿转为干燥,气温明显下降且昼夜温差较大,人体易着凉感冒,得病后自身的免疫力也会降低,从而导致皮肤病的发病率上升。从多家医院皮肤科接诊的患者统计来看,皮炎、湿疹和荨麻疹这三种过敏性皮肤病是最常见的。
在“中国护足护肤周”已成功举办十二年的基础上,主题为“护足护肤行万里,爱传八方卫健康”的2012中国护足护肤周,将与千家医院合作,在全国上百所城市继续为您提供专业相关知识及防治指南,全面保护您及家人健康。
皮炎湿疹发病原因复杂
皮炎、湿疹的发病原因包括内在和外在因素。所谓内在因素就是患者本身具有的过敏性体质,这在湿疹、皮炎的发病中起主导作用。内环境的不稳定如慢性消化系统疾病、精神紧张、失眠、过度疲劳、情绪变化等精神改变,以及感染病灶、新陈代谢障碍和内分泌功能失调等,均可诱发或加重湿疹、皮炎的病情。
外在因素也很多,包括饮食、吸入物、气候、接触过敏物等。其中海鲜、辛辣食品、酒、吸入花粉、尘螨、寒冷天气、接触化学物品、肥皂、洗涤剂等是湿疹、皮炎最常见的诱因。如此复杂的原因,使得皮炎、湿疹因众多的发病原因和诱发因素交织在一起而反复发作。
荨麻疹找过敏原是难点
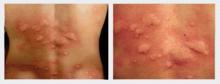
荨麻疹就是俗称的风疙瘩、风疹块,其症状特点是皮肤出现白色或红色疹块,发作突然,也无一定位置,时隐时现,瘙痒无度,消退后不留任何痕迹。一般会在24小时内消退,也可能反复发作,迁延不愈。
一般而言,荨麻疹的致病因素有药物、食物、吸入物、接触物以及内脏疾患、各种感染、物理因素、精神因素、遗传因素、内分泌改变等。可结合体检和实验室检查寻找病因,但结果往往不是很理想。长期以来,查找病因即过敏原成为一大难题。
南昌中山皮肤病医院积极响应“中国护足护肤周”的主题,向广大患者朋友推荐3T通调疗法标本兼治皮肤瘙痒、过敏性皮肤病,见效快,疗效持久。
【温馨贴士】为了更好的预防和治疗皮肤病,患者最好能亲临本中心,专家会为您进行全面诊断,然后制定最适合您的治疗方案!如果您有更多“小心三大过敏性皮肤病_南昌中国护足护肤周”的问题,欢迎点击咨询在线专家或咨询热线电话0791-88116677。
接诊时间: 8:00-17:30(节假日不休) 咨询Q Q:77891588
医院地址:江西省南昌市西湖区站前西路49号、173号
乘车路线:乘坐5路、6路、18路内线、18路外线、26路内环、26路外环、206路、219路长班空调、221路空调、225路长班空调、 230路空调、233长班、233路、305路、305夜、310路、316路到市公交总公司下车即可。
- ★★★★★
- 5.0
- 5.0
- 5.0
- 我要评论







科室一览










